11月20日上午,经过4个小时的精诚协作,彭水县医院心内科陈元友主任团队成功为2例复杂冠状动脉病变患者完成血管内超声显像技术(IVUS)检查,并顺利植入支架,术后经IVUS检查支架贴壁良好,远端血流正常,患者术后恢复良好。此2例手术是河豚直播体育app首次在IVUS的指导下植入支架手术病例,该项手术的开展填补了全县冠脉介入治疗在血管内影像学检查方面的空白,让更多的冠脉复杂病变患者获益。
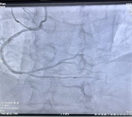
第1例是一位老年男性患者,2年前曾在外院行冠状动脉内支架植入术,平时未规律服用抗血小板药物,因“呼吸困难”来院就诊,冠状动脉造影提示左主干开口狭窄约80%,右冠开口狭窄约70%,患者经治疗后好转出院,预约择期行IVUS指导下处理左主干病变。在陈元友主任医师的指导下,王欣主治医师将IVUS导管放置在血管远端,采取自动回撤模式,测得左主干开口面积为2.9mm2,已经达到介入手术指征,在左主干开口成功植入1枚支架,术后IVUS测得左主干开口面积为12.7mm2,,术后支架贴壁良好,患者左主干病变解除,患者术后恢复良好。(见图1)。


图1(左图为术前,右图为术后)
第2例是一位高龄男性患者,84岁冉爷爷1月前因“突发胸痛”就诊,诊断为急性心肌梗死,术中造影提示罪犯血管为前降支,右冠近端完全闭塞,考虑慢性闭塞性病变,行急诊PCI后治疗患者好转出院,医生建议患者择期在IVUS指导下行右冠支架植入术。同样,在陈元友主任的指导下,王欣医师行双侧造影,在钢丝通过闭塞病变后,将IVUS导管放置在血管远端,采取自动回撤模式,可见闭塞处主要为纤维病变,测得管腔最狭窄面积为2.5mm2,病变长度达34.7mm,已经达到介入手术指征,在右冠长病变处成功植入1枚支架,术后IVUS测得最狭窄处管腔面积为6.2mm2,,IVUS及冠脉造影提示术后支架贴壁良好,远端血流恢复正常,患者术后恢复良好。见图2、图3。

图2(左图为术前,右图为术后)


图3(左图为术前,右图为术后)
IVUS被誉为冠脉介入治疗中的第三只眼,目前已广泛在临床中应用,特别是在左主干病变、慢性闭塞性病变、支架术后贴壁情况评估中,IVUS能够较造影提供更多的信息,大型临床研究已经证实IVUS指导下的支架植入能够改善患者的预后。此次IVUS在我院成功应用,对于广大冠心病患者,尤其是复杂冠脉病变患者,无疑是一个好消息。这也意味着河豚直播体育app冠状动脉介入迈上一个新台阶。